Россия, Московская область, Старая Купавна
Пн-сб: 09:00—20:00

Мелкодисперсная взвесь

Появление в моче или на стенках мочевого пузыря нерастворимых частиц мелкодисперсных фракций, или взвесь в мочевом пузыре, может являться свидетельством ряда патологических процессов мочеиспускательной системы. Это явление может быть спровоцировано как изменением солевого состава мочи, так и воспалительными процессами мочевого пузыря или мочекаменной болезнью почек.

Виды взвеси в мочевом пузыре

Взвеси, или осадки в мочевом пузыре — это кристаллики или пластинки солей. Как правило, на ранних стадиях заболевания появляется мелкодисперсная взвесь, представляющая собой микроскопические крупинки нерастворенных солей, скапливающиеся на стенках мочевого пузыря.

Гиперэхогенная взвесь формируется в виде микроскопических чешуек, образующих смесь с высококонцентрированной уриной. При развитии заболевания микроскопические частицы нерастворенного солевого осадка, или взвесей, могут формировать более крупные образования или конкременты.

Взвесь в мочевом пузыре бывает первичной, когда ее отдельные частицы образуются внутри пузыря. Возникновению этих новообразований способствует нарушение оттока мочи из полости пузыря. При скапливании урины в полости мочевого пузыря на его внутренней поверхности оседают различные соли, содержащиеся в составе мочи. Это могут быть ураты, оксалаты, фосфаты и т. п.

Вторичная взвесь появляется из-за попадания отдельных частиц из мочеточника в полость мочевого пузыря. Причина их появления определяется во время обследования пациента.

Причины появления взвеси

Наиболее вероятной причиной появления взвеси являются воспалительные заболевания мочеполовой системы (например цистит). К накоплению мелкодисперсного осадка в моче или на стенках мочевого пузыря могут привести также нарушения функционирования почек и воспалительные заболевания половых органов.

Кроме того, появление взвеси бывает вызвано такими причинами, как:

  • механические повреждения и травмы мочевого пузыря (разрывы, растяжения и т. п.);
  • ошибки, допущенные при проведении хирургического вмешательства;
  • утолщение стенок мочевого пузыря;
  • некоторые паразитарные заболевания (например шистосомоз);
  • паразитарные инфекции мочеполовой системы;
  • утолщение стенок мочевого пузыря;
  • нарушение обмена веществ в организме;
  • неправильное питание;
  • почечнокаменная болезнь;
  • нарушение гормонального баланса;
  • обезвоживание организма.

Если признаки нарушения оттока мочи присутствуют в течение долгого времени, песок начинает преобразовываться в камни. Как правило, причины, вызывающие образование взвесей, у женщин и мужчин практически одинаковы.

Основные симптомы

На появление осадочной взвеси в полости мочевого пузыря указывают такие симптомы, как:

  • нарушение привычного режима мочеиспускания (внезапные позывы и т. п.);
  • частицы крови в составе мочи;
  • боли во время мочеиспускания;
  • прерывистая струя урины в момент опорожнения мочевого пузыря;
  • изменение цвета, запаха и других свойств выделяемой мочи.

Нарушение половой функции у мужчин или появление боли в области почек наблюдается вследствие скапливания взвеси в значительном количестве.

Взвеси в детском возрасте

Появление взвеси в мочевом пузыре у ребенка необязательно происходит по причине патологических процессов. Оно может являться признаком ряда нормальных физиологических процессов созревания и формирования мочеполовой системы. Главное, чтобы малыш не жаловался на боли или неприятные ощущения во время мочеиспускания.

При появлении у ребенка минимального дискомфорта при отправлении естественных надобностей необходимо обязательно показать его специалисту. Это позволит выяснить наличие инфекций или воспалительных процессов на ранних стадиях.

Для точного определения причин возникновения взвеси, ее характера и способов лечения врач проводит анамнестическую беседу и общий осмотр пациента. Далее назначается:

  • лабораторное исследование состава мочи;
  • общий анализ крови;
  • УЗИ мочевого пузыря;
  • внутривенная пиелография;
  • компьютерная томография.

Для того чтобы обнаружить осадок в мочевом пузыре и определить его количество, проводят ультразвуковое исследование. Анализ мочи и крови необходим для определения состава конкрементов. Остальные способы медицинского обследования позволяют выявить дополнительные сведения для определения клинической картины недуга и способов его излечения.

Лечение и профилактика патологического состояния

Для избавления от конкрементов в мочевом пузыре проводится комплексное лечение. Основные его направления предполагают очистку мочевого пузыря от осадка, снятие в нем воспалительных процессов и улучшение общего состояния организма пациента.

Для лекарственной терапии, в частности, применяются:

  • антибиотики;
  • иммуномодуляторы;
  • витаминные средства;
  • лекарственные растения.

Для повышения эффективности лечения больному также назначается диетическое питание и коррекция режима. Диета при взвеси составляется по принципу полного отказа от употребления продуктов, раздражающих слизистые оболочки мочеиспускательных органов. К таким продуктам относятся:

  • копчености;
  • соленья;
  • маринады;
  • специи и пряности;
  • кофе и шоколад;
  • газированные напитки.

Курение необходимо свести к минимуму. От алкогольных напитков необходимо отказаться полностью.

Предотвратить появление взвесей и конкрементов в мочевом пузыре, а также других проблем помогут такие меры, как употребление для питья воды без каких-либо примесей, контролирование объема ежедневно потребляемой жидкости, правильное питание, отказ от вредных привычек, ограниченное употребление раздражающих продуктов и напитков, общее укрепление организма, регулярные профилактические визиты к урологу.

Виды взвеси по признакам

Взвесь классифицируется по нескольким признакам:

  1. Первичная взвесь — образуется непосредственно в мочевом пузыре из соли. Нарушенный отток мочи становится причиной повышения уровня кислот и солей, что ведет к образованию соляного осадка. Появляются мелкие солевые хлопья. Далее образовывается микроскопическая белая взвесь.
  2. Вторичная взвесь — в мочевой пузырь попадает из мочеточника.

Длительное нарушение оттока урины создает условия для образования камней, так как взвесь в моче накапливается, постепенно превращаясь в песок, из которого возникают камни. Мелкодисперсная взвесь достигает не более 0, 005 миллиметров. Это начальная стадия развития патологии, далее она превратится в песок, из которого образуются камни.

Существует такое понятие, как эхогенная взвесь в виде осадка в моче. Она состоит из смеси мелких солевых частиц и концентрированной мочи. Эховзвесь проявляется в результате нарушения функций организма. Холестерин — основная составляющая этого осадка.

Гиперэхогенная взвесь формируется из солевых осадков (фосфатов, уратов, оксалатов) в виде микроскопичных чешуек, смешанных с концентрированной уриной. Концентрация происходит из-за застоя, чем длительнее застой мочи, тем сильнее будет концентрация в ней солей. Развитие патологии приводит к формированию более крупных частиц, которые, в свою очередь, образуют конкременты еще больше.

Вернуться к оглавлению

Причины появления осадка в мочевом пузыре

Цистит может быть причиной возникновения осадка в урине.

Женщины и мужчины страдают этой патологией по одним и тем же причинам. Единственным исключением будет период беременности, во время которой природный здоровый отток мочи изменяется по физиологическим причинам. Увеличенная матка, что вызвано растущим плодом, давит на мочевой пузырь и иногда приводит к нарушению оттока мочи и появлению взвеси. Основные причины возникновения осадка в урине:

  • воспаление органов мочеполовой системы;
  • негативные последствия после хирургического вмешательства;
  • шистосоматоз;
  • попадание инородных тел в мочевыводящие пути и половые органы;
  • травмирование органов мочеполовой системы.

Причиной появления мелкодисперсной взвеси может стать цистит. Также ее наличие является одним из главных симптомов мочекаменного заболевания. При выходе камня из организма по мочеточникам он может застрять и закупорить собой мочеточный канал, вызвав при этом застой урины. Из-за длительного застоя мочи происходят патологические изменения в строении стенок мочевого пузыря. Мышечные перекладины утолщаются, так как большое количество мочи давит на стенки. Это ведет к истончению стенок в других местах, что служит причиной разрывов.

Вернуться к оглавлению

Основные симптомы

Когда возникает застой мочи и образовывается в мочевом пузыре осадок, появляются первые симптомы, которые нельзя игнорировать. Осадки характеризуются следующими признаками:

  • мочеиспускание сопровождается болью;
  • позывы в туалет учащаются;
  • струя мочи часто прерывается;
  • урина изменяет цвет и другие характеристики;
  • в урине появляется кровь.
Изменение цвета мочи может сигнализировать об образование в мочевом пузыре осадка.

Осадок в мочевом пузыре создает патологическое воздействие на мужскую половую функцию. Сдавленная простата увеличенным мочевым пузырем создает дисфункцию органа. Большое количество солевых осадков может провоцировать резкие колющие болевые ощущения внизу живота. Этот симптом начинается из-за травмирования слизистой уретры мелкими камнями и песком, что движутся по мочеточникам вместе с мочой.

Вернуться к оглавлению

Осадок в моче у ребенка

Наличие взвеси в мочевом пузыре у детей еще не является фактом, свидетельствующим о болезни. Это бывает естественным процессом, который исчезнет самостоятельно. Если ребенок не ощущает боли и негативных проявлений, не стоит тревожиться. Наличие у ребенка других симптомов и жалоб — повод обратиться за консультацией к врачу и провести дополнительное обследование.

Вернуться к оглавлению

Опасность патологии

Риск заключается в том, что при застое мочи возникает дополнительное давление на стенки мочевого пузыря. Это приводит к растягиванию стенок в одном месте и утолщению в другом. Утончение стенки может в итоге стать причиной внезапного разрыва. Разрыв бывает внутрибрюшинный и забрюшинный. Такому состоянию характерно шоковое состояние.

Внутрибрюшинный разрыв всегда влечет за собой воспаление, поэтому не стоит затягивать с проявившимися симптомами. Своевременное обращение к врачу может избавить от развития тяжелых последствий.

Забрюшинный разрыв вызывает мочевой затек, возникает гнойный воспалительный процесс жировой клетчатки, которая находится под кожей. Развитие этого осложнения занимает всего 2—3 дня после образования разрыва. Начинают проявляться признаки интоксикации, на месте травмы возникает отечность и покраснение. Во время разрыва стенок пузыря иногда происходит также разрыв уретры.

Вернуться к оглавлению

УЗИ и другие методы диагностики

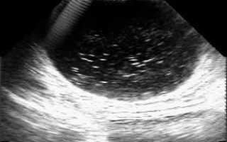
Следует помнить, что признаки наличия в мочевом пузыре осадков появляются только со временем, на ранних стадиях патология протекает бессимптомно. Расплывчатость симптоматики влияет на правильность результата диагностики. При ощущении дискомфорта внизу живота и при процессе мочеиспускания обязательно надо пройти ультразвуковое обследование. На УЗИ взвесь в мочевом пузыре обнаружить довольно просто. Данный метод позволит выявить причину боли. Небольшой уровень взвеси уже создает изменения в толщине стенок, что свидетельствует о наличии заболевания.

УЗИ — эффективный метод проверки мочевого пузыря.

При проблеме, которая касается мочеполовых органов, в первую очередь надо сдать на анализ мочу. Если взвесь присутствует, ее небольшое количество выделяется вместе с мочой. На начальных стадиях развития болезни можно обнаружить в урине хлопья. Анализ позволяет примерно установить их концентрацию, состав и обнаружить причины появления. Общий анализ крови делается для того, чтобы обнаружить наличие возможного воспалительного процесса.

Вернуться к оглавлению

Как лечить?

Терапия включает в себя решение нескольких задач: снятие негативной симптоматики патологии (болевые ощущения, прерывания процесса мочеиспускания, нарушения половых функций у мужчин); выведение из организма солевых осадков и образовавшихся камней; укрепление организма и минимизация возможного рецидива заболевания. Лечение проходит при помощи медикаментов и народных средств.

Если в мочевом пузыре уже образовался камень, перед основной терапией, что подразумевает активное выведение осадка, необходимо сначала его удалить. Метод удаления зависит от характеристик камня — из каких солей он образован, какая его величина. Возможно, удастся растворить камень при помощи тех же медикаментов. Если консервативная терапия окажется бессильной, прибегают к вариантам дробления камня.

Вернуться к оглавлению

Лечение медикаментами

Проводится, как правило, при помощи антибиотиков. Одним из популярных в данное время является препарат «Монурал». Его локальное воздействие за короткое время устраняет боль. «Канефрон», в состав которого входят экстракты трав, производит быстрый эффект. Также успешно используются спазмолитические, обезболивающие, противовоспалительные препараты. Их врач назначает индивидуально в зависимости от характера болезни и причин ее возникновения.

Вернуться к оглавлению

Фитотерапия

Фитотерапевтические готовые сборы помогут снять неприятные ощущения.

Успешно используются настои и морсы из листьев и ягод клюквы и брусники. Отвары ромашки, полевого хвоща снимают воспалительные процессы мочевого пузыря и являются спазмолитиками. Для женщин рекомендуется применять спринцевание с использованием этих трав. Можно приобрести специальные фитотерапевтические готовые сборы для укрепления организма и снятия неприятных ощущений в аптеках.

Вернуться к оглавлению

Диета во время лечения

При прохождении курса терапии необходимо соблюдать диету для максимального и быстрого эффекта. Из каждодневного рациона исключается пища, которая раздражает слизистые оболочки и способствует выработке солей. Нельзя употреблять соленую, острую и кислую еду, запрещены копчености. Категорически запрещено употреблять алкогольные напитки. Кофе и чай надо сократить в употреблении до минимума. Необходимо увеличить количество употребляемой воды, что ускоряет вымывание осадка.

Вернуться к оглавлению

Профилактические мероприятия

Минимальное воспаление провоцирует появление мелких частиц, что возникают как осадок в урине. Для того, чтобы избежать возникновения проблемы, нужно соблюдать несколько простых правил в повседневной жизни:

  • не переохлаждать организм;
  • за сутки выпивать минимум 2 литра воды (не учитывается чай, кофе, сок);
  • соблюдение гигиены мочеполовых органов;
  • регулярное посещение туалета;
  • пить чай из травяных сборов с мочегонным и уросептическим воздействием.

Профилактические методы способствуют снижению риска развития патологии или ее нового обострения. Активный образ жизни, прогулки на свежем воздухе и физические упражнения способствуют общему укреплению иммунной системы. Регулярное профилактическое посещение врача даст возможность выявить изменения в организме на первых стадиях и избежать развития болезни.

Разновидности

В самом начале развития болезни наблюдается мелкодисперсная взвесь, складывающая из крошечных частичек нерастворимых солей, собирающихся на стенках мочевого пузыря.

Различают 2 вида образования в патологическом органе:

  1. Первичная – взвесь, появившаяся в самом пузыре. Она возникает вследствие повышения концентрации мочевой кислоты, обычно это приводит к замедлению стекания мочи естественным путем. Повышенная концентрация урины, которая появилась из-за долгого застоя, провоцирует создание взвеси на стенках мочевого. Этому становятся такие причины, как солевые осадки, содержащиеся в моче.
  2. Вторичные – крупинки, попадающие в мочевой сразу из мочеточника. Виновником часто становится скопление песка в почках. Следует произвести диагностику и определить, что стало фактором созидания песка в пузыре. От этого и будет зависеть лечение.

Гиперэхогенная взвесь основывается из солевых осадков, создается в форме маленьких чешуек, организующих смесь с сильно концентрированной уриной. При формировании заболевания крупинки нерастворимого солевого осадка вызывают наиболее объемные образования, конкременты.

Причины

Главной причиной камнеобразования становятся воспалительные патологии мочеполовой системы (цистит). Скапливание осадка в моче либо на оболочках мочевого пузыря способствуют изменения работы почек или болезни половых органов.

Другие причины создания взвеси:

  • механические нарушения или травмы органа (растяжения, разрывы);
  • обезвоживание организма;
  • паразитарные болезни (шистосомоз);
  • избыточное применение соли, жидкости;
  • увеличение стенок мочевого органа;
  • болезни почек;
  • повреждение обмена веществ;
  • проникновение в мочевой пузырь чужеродного тела;
  • оперативные вмешательства, при которых были допущены ошибки;
  • изменение гормонального баланса.

Содержание взвеси у детей могут и не указывать на существование заболевания, а просто представлять собой физиологический процесс, и не выражающий никакой опасности. Главное, у ребенка не должно быть болевых ощущений.

Эхогенная взвесь находится в мочевом органе, складывается из концентрированной мочи и несильного солевого осадка. Выявление требует срочное лечение, т. к. самочувствие человека будет постепенно ухудшаться и наряду с этим нарушаться мочеиспускание.

Симптомы

Обнаружить взвеси в тот момент, когда они появились просто не удается. Первыми симптомами, свидетельствовавшими об осадке в мочевом пузыре, становятся болевые ощущения, выражающиеся в надлобковой либо паховой зоне. Когда взвесь находится в большом объеме, возможны проявления болей, похожих на почечную колику.

Главные симптомы, образовавшиеся при наличии взвеси:

  1. изменение свойственного режима мочеиспускания (неожиданные позывы в туалет);
  2. кровяные капельки в моче, боли при этом;
  3. прерывистая струйка в минуту опорожнения;
  4. изменение запаха, оттенка урины и иные характеристики.

Вышеописанные симптомы могут проявляться и при других патологиях мочеполовой системы, поэтому установить точный диагноз способен только врач исходя из полученных результатов исследования.

Присутствие осадка у мужской половины населения оказывает неблагоприятное воздействие на половую деятельность, т. к. мочевой пузырь производит натиск на простату.

Диагностика

Чтобы увидеть взвеси в мочевом пузыре понадобится:

  • УЗИ мочевого органа;
  • внутривенная пиелография;
  • анализ мочи, крови;
  • КТ.

Обнаруживает УЗИ не только имеющийся осадок, но и число взвеси или камней, в момент, если конкременты стали формироваться. Ультразвуковое исследование рекомендовано для диагностических целей, потому что оно способно распознать сопрягающие заболевания, негативно действующие на общее состояние человека. УЗИ также может определить причины, спровоцировавшие осадок.

Анализ крови, урины устанавливает состав образований. Все остальные способы диагностики позволяют распознать дополнительные сведения для обозначения клинической картины патологии и способов терапии.

Лечение

Правила, на которые основывается лечение – снижение воспалительного процесса, очищение болезненного органа и общее восстановление организма человека.

Наличие эхогенной взвеси является сигналом ненормальной работы мочевого пузыря. Главным веществом, находящимся во взвеси, считается холестерин – первый возбудитель появления камней. Поэтому терапия должна быть нацелена на предупреждение и ликвидацию мочекаменной болезни в целом.

Образование гиперэхогенной взвеси, выявленной на УЗИ, свидетельствует о существовании непросто маленькой частички осадка, а, о значительном размере, камне.

Медикаментозная терапия

После определения всех деталей назначается лечение, предполагающее начальное растворение камней. Пациенту прописывают противовоспалительные лекарства.

Могут потребоваться антибактериальные средства:

  1. Монурал – его локальное влияние моментально избавляет от боли.
  2. Канефрон – комбинированный препарат, в состав которого вошли растительные компоненты, оказывает противовоспалительное, мочегонное воздействие. Подходит для профилактики мочекаменной болезни.

Также могут применяться обезболивающие, спазмолитические медикаменты, витамины и иммуномодуляторы. Каждое лекарство назначается в индивидуальном порядке в соответствии с характером имеющейся болезни, а также причины ее возникновения.

А вот мелкодисперсная взвесь в мочевом пузыре, распознанная при диагностировании, не считается патологией. Правильней ее обозначить симптомом. Только тогда, когда случилось дробление камней, она вписывается в клиническую картину мочекаменного недуга. Лечение в данной ситуации не предполагает решительных мер, но понадобятся некоторые мероприятия, чтобы избежать возникновения камней.

Фитотерапия

Благополучно применяются морсы, настои из плодов брусники, клюквы. Обладают спазмолитическим действием и уменьшают воспаление отвары ромашки, березовых листьев, полевого хвоща.

Хорошо женщинам проводить спринцевания с содержанием этих лекарственных трав. Купить можно готовые сборы, использовать их с целью восстановления организма и устранения неприятных ощущений.

Определенная диета

Во время терапевтических действий необходимо придерживаться специальной диеты, которая ускорит выздоровление. Из ежедневного рациона нужно исключить еду, что приводит к возбуждению слизистой и содействует производительности солей.

Не рекомендуется потреблять:

  • шоколад, кофе;
  • напитки с газами;
  • маринады, копчености;
  • пряности, специи;
  • острую, кислую, соленую пищу.

Запрещено принимать алкоголь. Нужно повысить количество питьевой воды, она усилит вымывание осадка из мочевого органа.

Профилактика

Несильное воспаление сводит к основанию маленьких частиц, которые отмечаются как осадок в урине.

И чтобы уберечься от проблемы необходимо придерживаться некоторых правил:

  • в день выпивать не меньше 2 л воды;
  • производить гигиену мочеполовых систем;
  • употреблять травяной чай мочегонного действия;
  • не переохлаждаться;
  • систематически посещать туалет.

Профилактика уменьшит вероятность создания взвеси в мочевом пузыре. Пешие прогулки на воздухе, динамичный образ жизни, физическая гимнастика помогут укрепить иммунную систему. Поход к специалисту поспособствует своевременно обнаружить изменения в организме и избежать развития заболевания.

Причины взвеси в околоплодных водах

Взвесь в околоплодных водах, цвет жидкости, количество — все это очень важные показатели для врача, наблюдающего за беременностью пациентки. Что из себя представляет эта жидкость и какую роль играет во внутриутробном развитии? Об этом в нашей статье.

Околоплодные воды – это жидкость, которая окружает ребенка внутри плодного пузыря. Она имеет очень важные функции. Участвуя в обмене веществ плода, она еще и защищает его от внешних воздействий. Громкие звуки, удары – все это амниотическая жидкость притупляет, тем самым оберегает малыша от травм и создает комфортные условия. К тому же ни одна инфекция не подберется к плоду – внутри пузыря создаются стерильные условия.

В норме околоплодные воды не имеют цвета, прозрачны и имеют чуть сладкий запах. Иногда они окрашиваются в зеленоватый цвет. Связано это бывает с попаданием в них первородного кала малыша – мекония. При нормальном состоянии плода, выделение его должно произойти только после рождения ребенка. Если же меконий попадает в околоплодную жидкость внутри утробы, то можно говорить о наличии кислородного голодания малыша. Еще меконий может стать причиной развития пневмонии у ребенка.

При обнаружении подобного нарушения обычно назначаются препараты для поддержания кровоснабжения плаценты, либо, на достаточных для рождения сроках, стимулируется родовая деятельность.

Цвет околоплодных вод может быть розоватым, кровянистым. Это очень опасный признак. Если вы обнаруживаете подтекание такой жидкости, то можно предположить отслойку плаценты. В данном случае необходимо экстренное обращение в родильный дом. Там вам проведут ультразвуковое обследование и в зависимости от степени отслойки плаценты (если она есть) либо позволят родить естественным путем, либо экстренно прооперируют.

В целом в течение беременности состав и цвет околоплодных вод претерпевает некоторые изменения. В самом начале они слегка желтоватые, далее становятся прозрачными и светлыми. А к концу периода вынашивания — мутноватыми.

Осадок и мелкодесперсная взвесь в околоплодных водах представляют собой частички первородной смазки, пушковые волоски, которые отделились от кожицы малыша, клеточки его эпителия. Могут там оказаться и продукты жизнедеятельности. Все это причины взвеси в околоплодных водах. То есть данное явление совершенно нормально. И в большей степени характерно для окончания беременности. Потому что к этому периоду плацента выполняет свои функции уже недостаточно полноценно. И обновление вод происходит медленно. В то время как в начале и середине процесса развития беременности они сменяются каждые 3 часа. Амниотическая жидкость со взвесью — это современный врач даже не должен писать в заключении УЗИ. Важно при ультразвуковом обследовании определить количество вод.

Однако случается, что мутность амниотической жидкости является признаком внутриутробной инфекции или следствием инфекционного заболевания самой беременной женщины. Ребенок тогда может появиться на свет уже с конъюктивитом, пневмонией или различными высыпаниями на коже. При подозрении на инфекцию следует сдать анализы на ее идентификацию. И после постановки диагноза пройти лечение антибиотиками.

Для того чтобы оценить насколько мутные околоплодные воды при беременности, то есть поставить точный диагноз, можно использовать разные методики. Одной из самых безопасных является ультразвуковое исследование. Также возможно проведение амниоскопии, когда специальный прибор вводится через шейку матки и оценивает состояние вод, не повреждая пузырь. Это обследование нередко назначают для диагностики кислородной недостаточности у плода вследствие переношенной беременности. Существует еще и метод амниоцентеза – прокола пузыря обычно через брюшную стенку матери. Эта методика также позволяет определить хромосомный набор плода. Амниоцентез обычно назначается во втором триместре беременности при подозрении на генетические заболевания у ребенка.

Ссылка на основную публикацию
Похожее